
سلامت دهان و دندان کودکان یکی از مهم ترین پایه های سلامت عمومی در بزرگسالی است. بسیاری از مشکلات دندانی بزرگسالان مانند پوسیدگی های عمیق، عفونت لثه، بوی بد دهان و حتی درد های مزمن ریشه در مراقبت نادرست از دندان ها در دوران کودکی دارد. مسواک زدن صحیح و منظم از همان سال های ابتدایی زندگی نقش حیاتی در پیشگیری از این مشکلات دارد. با این حال، بسیاری از والدین با چالش بدقلقی کودکان هنگام مسواک زدن روبه رو هستند و نگرانند که این مقاومت باعث پوسیدگی دندان و ایجاد عادت های غلط شود. این مقاله با هدف آموزش مرحله به مرحله مسواک زدن کودک و ارائه راهکارهای علمی برای کاهش بدقلقی کودکان نوشته شده است. توجه داشته باشید که این متن جایگزین تشخیص و درمان پزشکی نیست و برای بررسی دقیق وضعیت دهان و دندان کودک و درمان مشکلات احتمالی، حتما باید به دندانپزشک کودکان مراجعه شود.

در این مقاله به صورت جامع و کاربردی به موضوع آموزش مسواک زدن کودک می پردازیم. ابتدا اهمیت مسواک زدن در سنین مختلف را بررسی می کنیم، سپس ابزار مناسب مانند مسواک و خمیر دندان کودک را معرفی می کنیم. در ادامه به آموزش گام به گام مسواک زدن صحیح، زمان و تعداد دفعات مسواک زدن، و روش های موثر برای کاهش بدقلقی و لجبازی کودکان می پردازیم. همچنین نقش والدین در ایجاد عادت های درست، اشتباهات رایج، و نکات تکمیلی برای پیشگیری از پوسیدگی دندان کودک بررسی خواهد شد. هدف این است که والدین با آگاهی، صبر و روش های علمی، مسواک زدن را به یک فعالیت شیرین و روزمره برای کودک تبدیل کنند.
فهرست مطالب
- اهمیت مسواک زدن کودک و تاثیر آن بر جلوگیری از پوسیدگی دندان
- انتخاب مسواک و خمیر دندان مناسب برای کودک
- آموزش مرحله به مرحله مسواک زدن کودک به روش صحیح
- بهترین زمان و تعداد دفعات مسواک زدن کودک
- نقش والدین در آموزش مسواک زدن کودک
- روش های کاهش بدقلقی کودکان هنگام مسواک زدن
- اشتباهات رایج والدین در مسواک زدن کودک
- نکات تکمیلی برای پیشگیری از پوسیدگی دندان کودکان
- نتیجه گیری
- سوالات متداول
اهمیت مسواک زدن کودک و تاثیر آن بر جلوگیری از پوسیدگی دندان
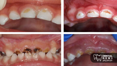
مسواک زدن منظم در کودکان فقط برای تمیز کردن دندان ها نیست، بلکه یک اقدام پیشگیرانه مهم برای حفظ سلامت دهان و دندان محسوب می شود. دندان های شیری اگرچه موقتی هستند، اما نقش بسیار مهمی در جویدن غذا، تکلم صحیح و حفظ فضای دندان های دائمی دارند. پوسیدگی زودرس دندان های شیری می تواند باعث درد، عفونت و حتی از دست رفتن زود هنگام دندان شود که این موضوع در آینده موجب بی نظمی دندان های دائمی خواهد شد. باقیمانده غذا و پلاک های میکروبی اگر به طور منظم با مسواک تمیز نشوند، به سرعت محیطی مناسب برای رشد باکتری ها ایجاد می کنند.

مطالعات علمی نشان داده اند کودکانی که از سنین پایین به مسواک زدن عادت می کنند، در سنین بالاتر همکاری بیشتری با مراقبت های بهداشتی دارند و میزان پوسیدگی دندان در آنها به شکل قابل توجهی کمتر است. همچنین مسواک زدن منظم باعث جلوگیری از التهاب لثه، بوی بد دهان و نیاز به درمان های دندانپزشکی پر هزینه می شود. به همین دلیل آموزش صحیح مسواک زدن کودک نه تنها یک مهارت روزمره، بلکه سرمایه گذاری بلند مدت برای سلامت او است.
انتخاب مسواک و خمیر دندان مناسب برای کودک
انتخاب ابزار مناسب یکی از مهم ترین مراحل در آموزش مسواک زدن کودک است. مسواک کودک باید دارای سر کوچک و الیاف نرم باشد تا به لثه ها آسیب نرساند و بتواند به راحتی به همه دندان ها دسترسی پیدا کند. دسته مسواک بهتر است ضخیم و خوش دست باشد تا کودک بتواند آن را به راحتی در دست بگیرد. استفاده از مسواک های رنگی یا طرح دار با شخصیت های کارتونی محبوب می تواند انگیزه کودک را برای مسواک زدن افزایش دهد و از بدقلقی او بکاهد.
خمیر دندان کودک نیز باید متناسب با سن انتخاب شود. برای کودکان زیر سه سال، مقدار بسیار کمی خمیر دندان حاوی فلوراید توصیه می شود و برای کودکان بالاتر، مقدار به اندازه یک نخود کافی است. طعم ملایم و کودک پسند خمیر دندان باعث می شود کودک راحت تر همکاری کند. توجه داشته باشید که بلعیدن خمیر دندان می تواند مضر باشد، بنابراین آموزش تف کردن از سن مناسب اهمیت زیادی دارد.
آموزش مرحله به مرحله مسواک زدن کودک به روش صحیح
آموزش مسواک زدن کودک باید به صورت ساده، آرام و مرحله به مرحله انجام شود. ابتدا کودک را در مقابل آینه قرار دهید تا بتواند حرکات شما را ببیند. مسواک را با زاویه حدود 45 درجه روی خط لثه قرار دهید و با حرکات آرام و دورانی دندان ها را تمیز کنید. بهتر است ابتدا سطوح بیرونی دندان ها، سپس سطوح داخلی و در نهایت سطح جونده دندان ها مسواک زده شود. این نظم باعث می شود کودک الگوی مشخصی را یاد بگیرد و چیزی از قلم نیفتد.

مدت زمان مسواک زدن باید حدود دو دقیقه باشد. برای کودکانی که مفهوم زمان را درک نمی کنند، می توانید از تایمر، آهنگ کوتاه یا شعر مخصوص مسواک زدن استفاده کنید. در ابتدا بهتر است والدین مسواک زدن را انجام دهند و به تدریج اجازه دهند کودک خودش این کار را انجام دهد، اما همچنان نظارت والدین تا سنین بالاتر ضروری است. تشویق کلامی بعد از اتمام مسواک زدن تاثیر زیادی در همکاری کودک دارد.
بهترین زمان و تعداد دفعات مسواک زدن کودک
بهترین حالت این است که دندان های کودک حداقل دو بار در روز مسواک زده شوند. اولین بار بعد از صبحانه و بار دوم قبل از خواب شبانه. مسواک زدن قبل از خواب اهمیت ویژه ای دارد، زیرا در طول شب ترشح بزاق کمتر می شود و باکتری ها فرصت بیشتری برای آسیب به دندان ها دارند. اگر کودک در طول روز خوراکی های شیرین مصرف می کند، شستشوی دهان با آب یا مسواک زدن اضافی می تواند مفید باشد.
ایجاد یک برنامه منظم و ثابت برای مسواک زدن به کودک کمک می کند این کار را به عنوان بخشی از روتین روزانه بپذیرد. بهتر است زمان مسواک زدن با فعالیت های آرام قبل از خواب مانند قصه گفتن یا حمام همراه شود تا کودک احساس اجبار نداشته باشد. ثبات والدین در این برنامه نقش کلیدی در موفقیت آن دارد.
نقش والدین در آموزش مسواک زدن کودک
والدین الگوی اصلی رفتار کودک هستند و نقش تعیین کننده ای در آموزش مسواک زدن دارند. وقتی کودک می بیند والدین خود به مسواک زدن اهمیت می دهند، این رفتار را تقلید می کند. مسواک زدن همزمان والد و کودک می تواند به یک فعالیت مشترک و لذت بخش تبدیل شود و از مقاومت کودک بکاهد. صحبت کردن با زبان ساده در مورد اهمیت تمیز بودن دندان ها به درک بهتر کودک کمک می کند.

صبوری و تشویق مهم ترین ابزار والدین است. تنبیه یا اجبار شدید نتیجه معکوس دارد و می تواند باعث ترس یا لجبازی بیشتر شود. استفاده از جدول تشویقی یا برچسب های رنگی برای هر بار مسواک زدن موفق می تواند انگیزه کودک را افزایش دهد. والدین باید بدانند که آموزش این مهارت نیاز به زمان و تکرار دارد.
روش های کاهش بدقلقی کودکان هنگام مسواک زدن
بدقلقی هنگام مسواک زدن یکی از رایج ترین چالش ها برای والدین است. برای کاهش این رفتار، بهتر است مسواک زدن را به یک بازی تبدیل کنید. استفاده از داستان، عروسک یا نقش بازی کردن می تواند توجه کودک را منحرف کند و تجربه ای مثبت بسازد. اجازه دادن به کودک برای انتخاب مسواک یا خمیر دندان حس کنترل را در او تقویت می کند.
همچنین باید به احساسات کودک توجه کرد. اگر کودک خسته یا گرسنه است، مسواک زدن می تواند برای او آزاردهنده باشد. انتخاب زمان مناسب و آرام می تواند بدقلقی را کاهش دهد. در صورت تداوم مقاومت شدید، مشورت با دندانپزشک کودکان یا روانشناس کودک می تواند راهگشا باشد.
اشتباهات رایج والدین در مسواک زدن کودک
یکی از اشتباهات رایج این است که والدین خیلی زود مسئولیت کامل مسواک زدن را به کودک می سپارند. مهارت حرکتی کودک برای تمیز کردن کامل دندان ها تا سنین بالاتر کامل نمی شود و نظارت والدین ضروری است. اشتباه دیگر استفاده از مقدار زیاد خمیر دندان است که می تواند باعث بلع فلوراید و مشکلات دیگر شود.
همچنین برخی والدین در مقابل مقاومت کودک کوتاه می آیند و مسواک زدن را حذف می کنند. این موضوع پیام نادرستی به کودک می دهد و عادت بدی ایجاد می کند. ثبات، آرامش و تداوم مهم ترین اصول در جلوگیری از این اشتباهات هستند.
نکات تکمیلی برای پیشگیری از پوسیدگی دندان کودکان
علاوه بر مسواک زدن، تغذیه سالم نقش مهمی در سلامت دندان های کودک دارد. کاهش مصرف خوراکی ها و نوشیدنی های شیرین، به ویژه قبل از خواب، تاثیر زیادی در پیشگیری از پوسیدگی دارد. مصرف آب کافی و میوه ها و سبزیجات تازه به تمیز ماندن دندان ها کمک می کند.
مراجعه منظم به دندانپزشک کودکان از سنین پایین توصیه می شود. معاینه دوره ای می تواند مشکلات را در مراحل اولیه شناسایی کند و آموزش های تکمیلی به والدین ارائه دهد. فلوراید تراپی و سیلانت در صورت نیاز از روش های موثر پیشگیری هستند.
نتیجه گیری
آموزش مرحله به مرحله مسواک زدن کودک یک فرآیند تدریجی و نیازمند صبر و آگاهی والدین است. با انتخاب ابزار مناسب، آموزش صحیح، ایجاد روتین منظم و استفاده از روش های تشویقی می توان از پوسیدگی دندان جلوگیری کرد و بدقلقی کودکان را به حداقل رساند. سلامت دهان و دندان کودک نتیجه توجه مستمر و رفتار درست خانواده است و پایه ای برای سلامت آینده او محسوب می شود.
سوالات متداول
از چه سنی باید مسواک زدن کودک را شروع کرد؟
به محض رویش اولین دندان، تمیز کردن دندان باید آغاز شود و با رویش دندان های بیشتر، مسواک زدن با مسواک مخصوص کودک انجام شود.
اگر کودک از مسواک زدن امتناع کند چه کار کنیم؟
بهتر است از روش های بازی محور، تشویق و انتخاب آزادانه ابزار استفاده کنید و از اجبار و تنبیه پرهیز کنید.
آیا مسواک زدن بیش از دو بار در روز لازم است؟
در اغلب موارد دو بار در روز کافی است، اما در صورت مصرف زیاد مواد قندی، شستشوی دهان یا مسواک اضافی می تواند مفید باشد.
منابع انگلیسی:
https://www.ada.org/resources/ada-library
https://www.aapd.org/




