
سلامت دندان ها در دوران کودکی نقش بسیار مهمی در سلامت دهان، تغذیه صحیح و حتی اعتماد به نفس کودک در سال های بعدی زندگی دارد. بسیاری از والدین در ماه های نخست بعد از شروع مصرف قطره آهن برای نوزاد یا کودک خود، متوجه تغییر رنگ دندان ها یا ایجاد لکه های تیره بر روی دندان های شیری می شوند. این موضوع معمولا باعث نگرانی والدین می شود و گاهی حتی منجر به قطع خودسرانه قطره آهن می گردد. باید تاکید کرد که این متن جایگزین درمان یا تشخیص پزشکی نیست و هدف آن تنها افزایش آگاهی والدین درباره تاثیر قطره آهن بر دندان های کودک است. برای هرگونه تصمیم درمانی، تنظیم دوز مصرف یا تغییر در مکمل های کودک، حتما باید با پزشک یا دندانپزشک متخصص کودکان مشورت شود.

در این مقاله به صورت علمی، کاربردی و مطابق با منابع معتبر روز دنیا، به بررسی تاثیر قطره آهن بر دندان های کودک می پردازیم. ابتدا نقش آهن در بدن کودک و اهمیت مصرف آن را توضیح می دهیم، سپس مکانیسم ایجاد سیاهی و لکه روی دندان ها را بررسی می کنیم و در ادامه، 7 راهکار قطعی و اثبات شده برای جلوگیری از سیاه شدن و لکه دار شدن دندان های کودک ارائه خواهیم داد. همچنین به باورهای نادرست، روش های پاکسازی لکه ها و زمان مراجعه به دندانپزشک نیز اشاره می شود. این مقاله با رعایت استانداردهای محتوای پزشکی و سلامت، برای انتشار در وب سایت های مجله ای پزشکی تدوین شده است.
فهرست مطالب
- تاثیر آهن و اهمیت مصرف قطره آهن در کودکان
- تاثیر قطره آهن بر دندان های کودک چگونه ایجاد می شود
- تاثیر قطره آهن بر پوسیدگی دندان کودک و باورهای نادرست
- تاثیر قطره آهن بر دندان های کودک و 7 راهکار قطعی پیشگیری
- تاثیر قطره آهن بر دندان های کودک و روش های رفع لکه ها
- چه زمانی برای سیاهی دندان کودک باید به دندانپزشک مراجعه کرد
- نتیجه گیری
- سوالات متداول
تاثیر آهن و اهمیت مصرف قطره آهن در کودکان
آهن یکی از عناصر حیاتی برای رشد و تکامل بدن کودک به شمار می رود. این ماده معدنی نقش اساسی در ساخت هموگلوبین، انتقال اکسیژن به بافت ها، عملکرد سیستم ایمنی و رشد مغزی دارد. کمبود آهن در کودکان می تواند منجر به کم خونی، ضعف، کاهش تمرکز، اختلال رشد و حتی تاخیر در تکامل ذهنی شود. به همین دلیل، بسیاری از انجمن های معتبر پزشکی جهانی از جمله آکادمی اطفال آمریکا مصرف مکمل آهن را در سنین خاص ضروری می دانند.
قطره آهن معمولا از حدود 4 تا 6 ماهگی و طبق نظر پزشک تجویز می شود، به خصوص در نوزادانی که از شیر مادر تغذیه می کنند. با وجود فواید بسیار زیاد آهن، برخی عوارض ظاهری مانند تغییر رنگ مدفوع یا ایجاد لکه روی دندان های شیری ممکن است مشاهده شود. توجه به این نکته بسیار مهم است که مزایای مصرف آهن به مراتب بیشتر از عارضه تغییر رنگ دندان هاست و نباید به دلیل این تغییرات ظاهری، مصرف آهن قطع شود.
تاثیر قطره آهن بر دندان های کودک چگونه ایجاد می شود
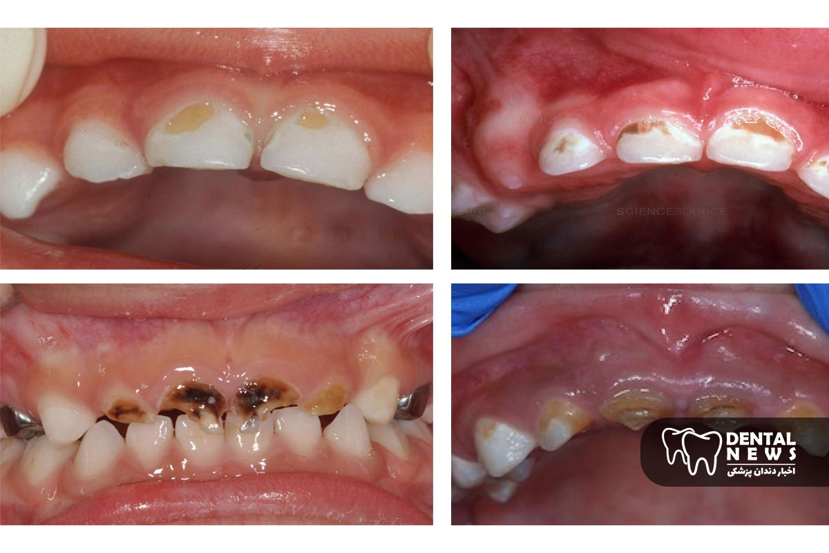
سیاهی یا لکه دار شدن دندان های کودک در اثر مصرف قطره آهن معمولا به دلیل واکنش آهن با ترکیبات بزاق دهان و باکتری های طبیعی موجود در محیط دهان رخ می دهد. آهن موجود در قطره می تواند با سولفیدها واکنش داده و ترکیبات تیره رنگی ایجاد کند که روی سطح مینای دندان می نشینند. این تغییر رنگ اغلب سطحی است و به بافت داخلی دندان نفوذ نمی کند.
عامل مهم دیگر، نحوه مصرف قطره آهن است. اگر قطره به طور مستقیم روی دندان ها چکانده شود یا پس از مصرف، دهان کودک شسته نشود، احتمال باقی ماندن آهن روی دندان ها افزایش می یابد. همچنین در کودکانی که بهداشت دهان به طور منظم رعایت نمی شود، تجمع پلاک می تواند شدت لکه ها را بیشتر کند. این تغییر رنگ معمولا دائمی نیست و در بسیاری از موارد با مراقبت صحیح قابل پیشگیری یا درمان است.
تاثیر قطره آهن بر پوسیدگی دندان کودک و باورهای نادرست
یکی از باورهای نادرست رایج میان والدین این است که قطره آهن باعث پوسیدگی دندان کودک می شود. بر اساس شواهد علمی موجود، آهن به خودی خود عامل پوسیدگی دندان نیست. پوسیدگی زمانی ایجاد می شود که قندها توسط باکتری های دهان تجزیه شده و اسید تولید شود. قطره آهن معمولا حاوی قندهای مخرب برای دندان نیست و عامل اصلی پوسیدگی به شمار نمی رود.

لکه های تیره ناشی از قطره آهن ممکن است ظاهری شبیه پوسیدگی ایجاد کنند، اما از نظر ماهیت کاملا متفاوت هستند. این لکه ها اغلب سطحی اند و ساختار دندان را تخریب نمی کنند. تشخیص افتراقی بین لکه ناشی از آهن و پوسیدگی واقعی باید توسط دندانپزشک انجام شود. آگاهی از این تفاوت می تواند از نگرانی بی مورد والدین و قطع نادرست مکمل آهن جلوگیری کند.
تاثیر قطره آهن بر دندان های کودک و 7 راهکار قطعی پیشگیری
اولین و مهم ترین راهکار برای پیشگیری از سیاه شدن دندان ها، استفاده صحیح از قطره آهن است. بهتر است قطره آهن با قطره چکان در انتهای دهان کودک و روی زبان ریخته شود تا تماس مستقیم با دندان ها به حداقل برسد. همچنین می توان قطره را پس از وعده غذایی به کودک داد تا بزاق بیشتری ترشح شود.
دومین راهکار، شستشوی دهان یا نوشاندن کمی آب پس از مصرف قطره آهن است. این کار باعث می شود باقی مانده آهن از سطح دندان ها پاک شود. سایر راهکارهای موثر شامل موارد زیر است:
- تمیز کردن لثه و دندان های کودک با گاز استریل یا مسواک مخصوص سن کودک
- عدم مخلوط کردن قطره آهن با شیر یا آب میوه
- استفاده منظم از مسواک نرم بدون خمیر دندان یا با خمیر دندان مخصوص کودک
- رعایت زمان مناسب مصرف قطره طبق نظر پزشک
- مراجعه منظم به دندانپزشک کودکان برای معاینه
تاثیر قطره آهن بر دندان های کودک و روش های رفع لکه ها
در صورتی که با وجود رعایت نکات پیشگیرانه، لکه هایی روی دندان های کودک ایجاد شود، جای نگرانی جدی وجود ندارد. بسیاری از این لکه ها با رعایت بهداشت دهان و مسواک زدن منظم به مرور کمرنگ می شوند. استفاده از مسواک نرم و حرکات ملایم می تواند به پاکسازی سطح دندان کمک کند.

در مواردی که لکه ها مقاوم تر باشند، دندانپزشک کودکان می تواند با روش های ایمن و غیر تهاجمی مانند پولیش سطحی، رنگ دندان ها را بهبود بخشد. تاکید می شود که از روش های خانگی یا مواد ساینده بدون نظر پزشک استفاده نشود، زیرا این اقدامات ممکن است به مینای دندان کودک آسیب برساند.
چه زمانی برای سیاهی دندان کودک باید به دندانپزشک مراجعه کرد
اگر تغییر رنگ دندان ها بسیار شدید باشد، یا والدین نسبت به ماهیت آن اطمینان نداشته باشند، مراجعه به دندانپزشک کودکان ضروری است. دندانپزشک می تواند تشخیص دهد که آیا لکه ها ناشی از قطره آهن هستند یا نشانه ای از پوسیدگی یا مشکلات دیگر دهان و دندان.
همچنین در صورتی که کودک دچار درد، حساسیت، التهاب لثه یا بوی بد دهان شود، بررسی تخصصی اهمیت بیشتری پیدا می کند. معاینات دوره ای دندانپزشکی از سنین پایین، نقش مهمی در پیشگیری از مشکلات دهان و دندان در آینده دارد.
نتیجه گیری
تاثیر قطره آهن بر دندان های کودک معمولا به صورت ایجاد لکه های سطحی و موقتی بروز می کند و به هیچ وجه نباید باعث قطع مصرف این مکمل حیاتی شود. آهن برای رشد سالم کودک ضروری است و فواید آن بسیار بیشتر از تغییر رنگ ظاهری دندان هاست. با رعایت اصول صحیح مصرف، بهداشت دهان و مراجعه منظم به دندانپزشک، می توان به طور موثری از سیاه شدن و لکه دار شدن دندان ها جلوگیری کرد.
آگاهی صحیح والدین و پرهیز از باورهای نادرست، کلید اصلی حفظ سلامت عمومی و دهان و دندان کودکان است. همواره توصیه می شود هرگونه نگرانی یا سوال درباره مصرف قطره آهن و سلامت دندان کودک با پزشک یا دندانپزشک متخصص مطرح شود.
سوالات متداول
آیا سیاهی دندان ناشی از قطره آهن دائمی است؟
در اغلب موارد، این سیاهی موقتی و سطحی است و با رعایت بهداشت دهان یا اقدامات ساده دندانپزشکی برطرف می شود.
آیا باید به خاطر لکه دار شدن دندان ها، قطره آهن را قطع کنیم؟
خیر. قطع خودسرانه قطره آهن می تواند سلامت کودک را به خطر بیندازد و حتما باید با پزشک مشورت شود.
بهترین زمان مسواک زدن بعد از مصرف قطره آهن چه موقع است؟
بهتر است بلافاصله یا حداکثر تا 30 دقیقه بعد از مصرف قطره، دندان ها یا لثه های کودک تمیز شوند.
منابع
- https://www.aap.org
- https://www.ncbi.nlm.nih.gov
- https://www.ada.org


